矯正歯科の主な病気と治療
不正咬合(ふせいこうごう)
八重歯、乱ぐい歯(叢生:そうせい)
上顎(じょうがく)の糸切り歯(犬歯)が歯並びから飛び出している状態を八重歯(やえば)といい、歯並びが凸凹(でこぼこ)になっている状態を、乱ぐい歯といいます。これらは歯並びが悪い状態を指し、叢生(そうせい)とも呼ばれています。顎(あご)が小さいと歯が生える十分なスペースがないため、歯と歯が重なり合って、叢生が生じると考えられています。叢生は、歯みがきの時に歯ブラシが届きにくく、歯と歯の間に食べかすがたまり、虫歯や歯周病が起こりやすくなります。また治療もしにくいため治療後二次的に虫歯になりやすくなります。
出っ歯(上顎前突:じょうがくぜんとつ)
上顎の前歯が前に傾斜していたり、歯が前に突き出していたりする状態で、一般的に「出っ歯」と呼ばれています。見た目の問題や発音障害が生じるほか、口をしっかり閉じられないことで、口呼吸が習慣となり、口腔内の乾燥により虫歯や口臭が起こりやすくなります。また、顔のけがで前歯を折ったり、唇を切ったりしやすくなります。噛み合わせにより、下の前歯が上の前歯の裏側の歯ぐきを傷つけてしまうこともあります。
受け口(下顎前突:かがくぜんとつ)
下顎(かがく)が上顎より前に突き出ている状態のことで、噛み合わせが反対になるので「反対咬合」とも呼ばれています。上下の前歯の傾きに問題がある場合と、下顎が大き過ぎたり、上顎が小さ過ぎたりする場合とがあります。顎の大きさが原因の場合、顎の骨の成長の目途がつくまで、経過を追っていく必要があります。うまく噛めないという症状だけでなく、聞き取りにくい話し方(発音)になることも少なくありません。また成長しきってからでは一般的な歯科矯正での歯の移動によって治療を行えない程の骨格異常や噛み合わせのずれが大きい場合は、外科手術が検討されることもあります。
開咬(かいこう)
上下の前歯がきちんと咬み合わない状態のことをいいます。前歯で食べ物をうまく噛み切ることができないだけでなく、正しく発音ができなかったり、咀嚼(そしゃく)がうまくできなかったりということも特徴として挙げられます。小さな頃の指しゃぶりや舌で歯を押す舌癖、遺伝的な問題も原因といわれています。
すきっ歯(空隙歯列:くうげきしれつ)
歯と歯の間にすき間ができている状態で、口元を開いたときに目立つという見栄えの問題だけでなく、隙間に食べ物が挟まりやすくなったり、サ行やタ行が発音しにくくなったりします。小さなすき間であれば、比較的容易な処置で改善することができます。
顎関節症(がくかんせつしょう)
顎関節症(がくかんせつしょう)
顎関節症(がくかんせつしょう)は、顎の関節やそれに関係する筋肉(咀嚼筋:そしゃくきん)に起こる病気です。「顎が思うように動かず食べ物が噛みにくい」「口を開けるとカクッ、コキッと音がする」「痛みで口が開かない」といった症状が見られます。
また、顎だけでなく、偏頭痛や肩こり、腕や指のしびれ、耳や鼻の不快感など、全身に影響が及ぶこともあります。原因は一つではなく、ストレスなどの精神的な要因、噛み合わせのずれ、夜間の歯ぎしりや食いしばり、頬杖(ほおづえ)などの癖、骨格や関節の形の問題など、さまざまな要素が関係しています。
症状のあらわれ方や程度には個人差があり、軽度のものから重度のものまでさまざまです。放置すると症状が進行し、顎の機能に障害が残る場合もまれにあります。顎に違和感や痛みを感じる場合は、早めの受診をおすすめします。
子供の矯正
噛み合わせが悪いと、お口まわりの筋肉や顎の成長に影響してしまうことがあります。また、成長期に歯並びが乱れていると、骨格の発達や姿勢にも関係して、猫背になりやすくなることもあります。お子さんの矯正治療は、こうした成長の途中で起こる悪い影響を防ぎ、お口を正しく育てていくための治療です。矯正治療には、6~12歳ごろに行う「一期治療(初期治療)」と、永久歯が生えそろってから行う「二期治療(本格治療)」があります。
二期治療は大人の矯正とほぼ同じ内容ですが、一期治療ではお子さんの成長に合わせて顎の土台から整えていくことができます。顎の成長を助けながら、歯並びや噛み合わせが自然に整うように誘導していきます。まずはお口の状態を確認し、お子さん一人ひとりに合った治療方法をご提案します。お子さんの歯並びや噛み合わせで気になることがありましたら、どうぞお気軽にご相談ください。
大人の矯正
現在の矯正治療は技術が大きく進歩しており、大人の方でも無理なく始められるようになっています。確かに、お子さんの方が成長期にあるため歯の動きがスムーズですが、成人の方でも少し時間をかければ、歯並びや噛み合わせのお悩みをしっかり改善することができます。
矯正治療の目的は見た目の改善だけではありません。歯並びが整うことで歯みがきがしやすくなり、虫歯や歯周病の予防にもつながります。また、噛み合わせが整うことで、顎や筋肉、歯ぐきへの負担が減り、全身のバランスや健康にも良い影響を与えます。
当院では、事前の問診やカウンセリングでしっかりとご希望を伺い、さまざまな矯正方法の特徴をわかりやすくご説明したうえで、一人ひとりに合った治療プランをご提案いたします。歯並びや噛み合わせで気になることがありましたら、どうぞお気軽にご相談ください。健康的で美しい口元を手に入れて、毎日を笑顔で過ごしましょう。
主な歯列矯正
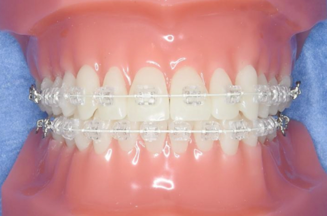
ワイヤー矯正
歯の表面にワイヤーとブラケットと呼ばれる固定装置を装着して歯列を整えていく方法で、歯列矯正の中で最も広く行われています。数ミリ単位で歯の移動が可能です。
最近では、歯と同じ色の目立ちにくいブラケットやワイヤーが揃っており、素材を選ぶことで目立ちにくくすることが可能です。
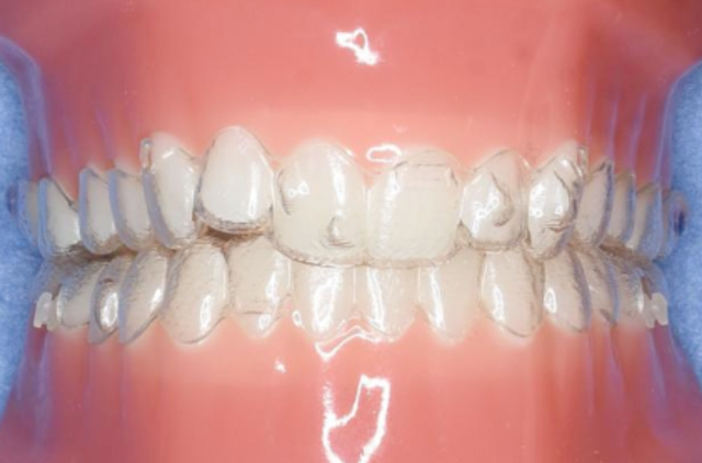
マウスピース矯正
マウスピース型の矯正器具を装着して歯を動かす治療です。マウスピースは透明の医療用のプラスチック製で、目立たず、周囲に気づかれずに治療が受けられるという特徴があります。
取り外しが可能で、いつも通りに食事や歯みがきをすることができます。